Emma Chandley BVetMed PGCertSAS MRCVS
Introduction
Hip dysplasia and elbow dysplasia are two frequently encountered orthopaedic conditions that can significantly impact a dog's quality of life. Luckily for pet owners, with the right approach, both of these conditions can be managed effectively. This article will discuss in detail what these conditions are, why they occur, how they’re diagnosed, and the best ways to help your dog live a long and comfortable life.
What Are Hip and Elbow Dysplasia?
Hip Dysplasia
Hip dysplasia is a developmental disorder affecting the hip joint. In a healthy hip, the ball and socket fit together snugly, allowing smooth movement when your dog moves their legs. However, in dogs with hip dysplasia, the joint develops abnormally, leading to looseness (laxity) that eventually results in arthritis and pain. Large breeds such as Golden Retrievers, Labradors, and German Shepherds, are particularly prone to this condition, though smaller breeds can also be affected.
Elbow Dysplasia
Elbow dysplasia is an umbrella term for a group of developmental abnormalities in the elbow joint. It usually involves uneven growth or improper fitting of the joint components, leading to stiffness, pain, and arthritis over time. This condition is more common in large breeds such as the Bernese Mountain Dog, Labrador Retriever, and Rottweiler.
Causes and Risk Factors
Both hip and elbow dysplasia are primarily inherited conditions, meaning that genetics play a key role in their development. However, environmental factors such as weight, diet, and exercise levels can influence the severity of symptoms. Rapid growth in puppies, excessive exercise at a young age, and obesity can all increase the risk of developing both hip and elbow dysplasia.
Clinical Signs
Dogs with hip or elbow dysplasia may show signs of discomfort at various stages of their lives. Some symptoms to look out for include:
● Stiffness, especially after rest
● Difficulty rising, jumping, or climbing stairs
● Abnormal sitting positions
● Reduced activity levels
● Lameness or limping (sometimes intermittent)
● Swelling or thickening around the affected joint
● Reluctance to exercise
● Decreased range of motion
● Abnormal Gait
If you notice any of these signs, it’s best to consult your vet for an assessment.
Diagnosis
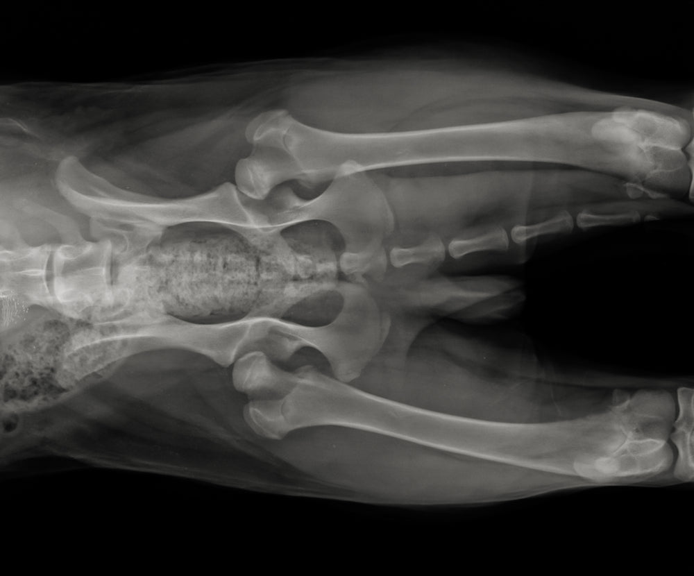
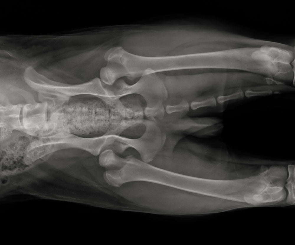
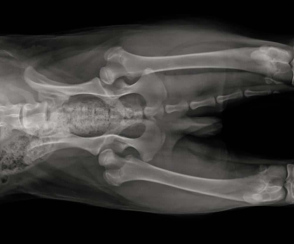
Diagnosing hip and elbow dysplasia involves a combination of clinical examination and diagnostic imaging. Your vet will assess your dog's gait, range of motion, and joint stability. X-rays are the most common diagnostic tool, but in some cases, advanced imaging such as CT or MRI scans may be recommended.
Treatment Options
While hip and elbow dysplasia cannot be fully cured, there are many ways to manage the condition and keep your pet comfortable.
Weight Management
Keeping your dog at a healthy weight is one of the most crucial aspects of managing joint issues. Excess weight puts additional strain on the joints, exacerbating pain and inflammation. Your vet will be able to advise you on an ideal weight for your dog and how to achieve it in a safe and healthy way.
Controlled Exercise
Moderate, low-impact exercise is beneficial for maintaining joint mobility and muscle strength. Swimming and gentle leash walks are great options. Avoid high-impact activities like jumping or running on hard surfaces.
Pain Relief and Anti-Inflammatories
Non-steroidal anti-inflammatory drugs (NSAIDs) can help reduce pain and inflammation. Other painkiller drugs can be prescribed depending on the individual case. Your vet may also recommend alternative pain relief options such as laser therapy or acupuncture.
Joint Supplements
Supplements can be a valuable addition to a dysplasia management plan.
These supplements can’t reverse dysplasia, but they can support joint health and improve your dog’s comfort over time.
Physiotherapy and Hydrotherapy
Physiotherapy exercises tailored to your dog’s needs can improve mobility and muscle strength, while hydrotherapy (swimming in a controlled environment) is an excellent way to provide low-impact exercise.
Surgical Options
For severe cases, surgical intervention may be necessary. The most common surgical options for hip dysplasia include:
Juvenile Pubic Symphysiodesis (JPS)
JPS is a preventative surgical option for very young puppies (usually under five months old) who have been diagnosed with early signs of hip dysplasia. The procedure involves fusing part of the pelvic growth plate to encourage better alignment of the hip joint as the puppy grows. This is a minimally invasive surgery with a relatively quick recovery, but it must be performed before skeletal maturity for the best results.
Triple or Double Pelvic Osteotomy (TPO/DPO)
This surgery is also designed for young dogs, typically under 10 months of age, who have hip laxity but no significant arthritis. It involves cutting and repositioning sections of the pelvis to improve the way the hip socket covers the femoral head, increasing joint stability. This procedure can help delay or even prevent the progression of arthritis, making it a good option for active, growing dogs.
Femoral Head and Neck Excision (FHNE)
FHNE is an option for dogs of any age with severe hip dysplasia or advanced arthritis, particularly if total hip replacement is not feasible. The procedure involves removing the femoral head (the ‘ball’ part of the hip joint), allowing the body to form a false joint with surrounding muscles and fibrous tissue. This reduces pain and improves mobility, though it is typically more effective in smaller breeds or lighter dogs. Rehabilitation, including physiotherapy, is crucial for optimal recovery.
Total Hip Replacement (THR)
THR is considered the gold standard for treating severe hip dysplasia, particularly in larger dogs. The procedure involves replacing the damaged hip joint with an artificial one made of metal and plastic components. It provides excellent pain relief and restores near-normal function, allowing many dogs to return to an active lifestyle. While THR has a high success rate, it is a complex and costly procedure that requires careful post-operative management to prevent complications such as implant loosening or infection.
The most common surgical options for elbow dysplasia include:
Arthroscopic Surgery
A minimally invasive procedure using a small camera to visualize the joint and allow for the removal of loose cartilage fragments reducing pain and inflammation with a quicker recovery time.
Fragment Removal and Debridement
Ideal for cases involving fragmented coronoid process (FCP) or osteochondritis dissecans (OCD), this procedure removes loose bone or cartilage to slow arthritis progression and improve movement.
Biceps Ulnar Release Procedure (BURP)
This technique alleviates pressure on a structure called the medial coronoid process, reducing pain and slowing joint degeneration.
Sliding Humeral Osteotomy (SHO) & Proximal Ulnar Osteotomy (PUO)
Both procedures alter bone alignment to redistribute joint pressure, easing discomfort and improving function, particularly in younger dogs.
Total Elbow Replacement (TER)
A last-resort option for severe cases, replacing the damaged joint with an implant to restore function and relieve pain, though it involves a long recovery and potential complications.
Preventing Dysplasia
While genetics play a significant role, there are steps you can take to reduce the risk and severity of dysplasia in your dog:
● Choose a responsible breeder who performs proper screening for joint conditions.
● Feed a high-quality, balanced diet to ensure controlled growth, and use appropriate supplements.
● Avoid excessive exercise in young puppies.
● Maintain a healthy weight throughout your dog’s life.
Final Thoughts
Hip and elbow dysplasia can be challenging conditions, but with the right approach, many dogs can lead happy, active lives. By combining weight management, appropriate exercise, veterinary care, and supportive supplements, you can help improve your dog's mobility and comfort. If you're ever in doubt about either of these conditions, always speak to your vet, they will be more than happy to help.
The Happy Joints Quiz
Pawable is the new natural alternative to support joints. Allowing you to enjoy more time together without more medications.
✅ A unique blend of HYDROLYSED and UNDENATURED collagen.
✅ Hundreds of rave reviews
✅ So good, it comes with a 90 day money back promise
👇Take the quiz below and find out if Pawable is right for your dog 👇
